Welcome to the 太阳城娱乐 ADVanced Cell Imaging Core
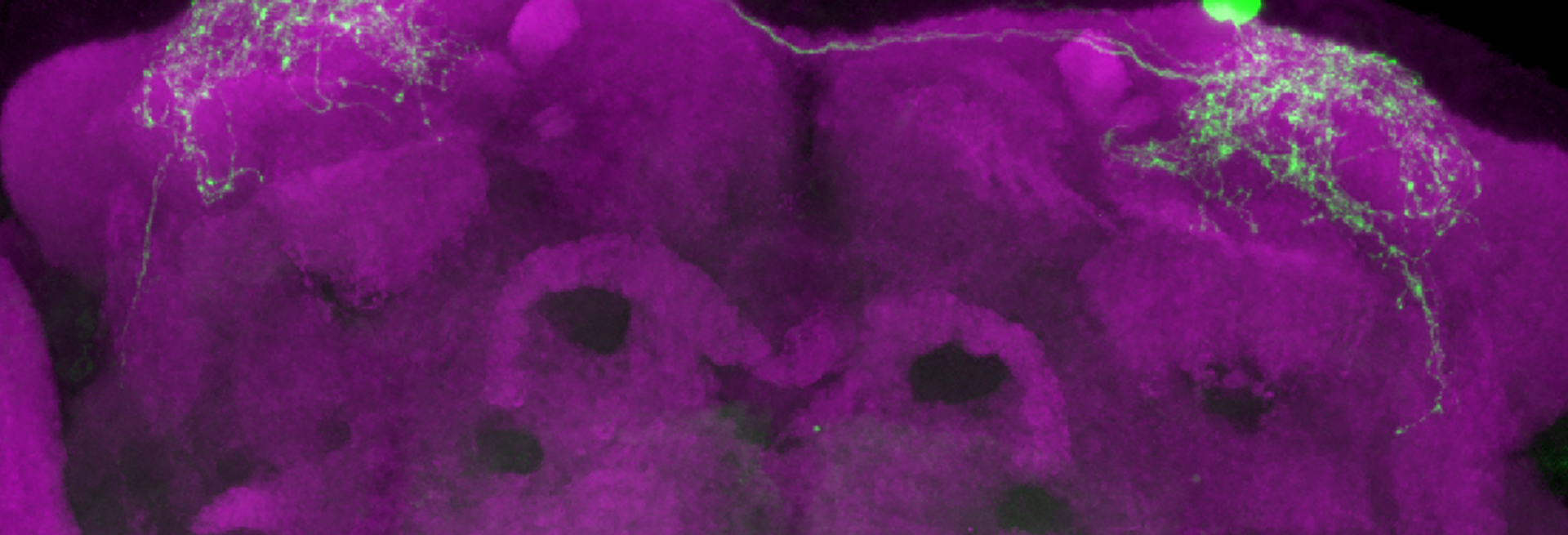
The 太阳城娱乐 Advanced Cell Imaging Core, overseen by the Stiles-Nicholson Brain Institute, provides imaging services and light microscopy equipment to support scientific and clinical investigators at 太阳城娱乐 and other institutions. Across the Boca, Jupiter, and HBOI campuses, the core houses eight imaging systems, covering a variety of light microscopy techniques. Additionally, the core provides five powerful image data analysis workstations with advanced imaging software.
A new addition to our core services is the GeoMX Digital Spatial Profiler (DSP). The GeoMx DSP can profile the expression of RNA and proteins from distinct tissue compartments and cell populations on a single slide in a unique manner allowing for spatial and cellular resolution on a microscopic level.
太阳城娱乐’s Stiles-Nicholson Brain Institute entered a partnership with Nikon and became one of Nikon’s Centers of Excellence in 2016. Through this partnership, 太阳城娱乐 and the Core have access to the latest optical systems and benefit from excellent support by Nikon specialists.
太阳城娱乐’s Advanced Cell Imaging Core is one of seven officially sanctioned federal recharge centers at 太阳城娱乐, called “research cores”. Research Cores facilitate cutting-edge research to stimulate and increase research productivity. They provide fee-for-service access to technology, equipment, services, and training that are not typically affordable by a single researcher and are valuable to multiple investigators. What makes these enterprises unique is that they operate using a cost recovery model that adheres to government costing principles. Specifically, they must: operate transparently, recover no more than their actual costs, and rates must be consistently applied to all users.
Services of the 太阳城娱乐 Advanced Cell Imaging Core are available to internal and external users and include training on the equipment and experimental support. To use any service of the 太阳城娱乐 Advanced Cell Imaging Core please contact Dr. Jana Boerner (jboerner@fau.edu).